电圈套器作为一种微创介入治疗器械,在呼吸科气道肿物的诊断与治疗中发挥着重要作用,可通过支气管镜配合完成肿物切除、组织活检等操作,具有创伤小、恢复快、疗效确切等优势。以下结合两例临床案例,详细阐述电圈套器在呼吸科的具体应用。
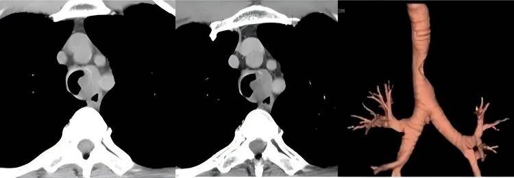
案例1:左主支气管 1.5cm 错构瘤(电圈套器 + 活检钳清除)
患者情况:37 岁女白领,体检发现左主支气管肿物,最大径 1.5cm(成人左主支气管正常内径 0.9-1.2cm),已造成气道严重狭窄,伴偶尔干咳,未出现明显呼吸困难。
手术操作:先经支气管镜活检明确为良性错构瘤(血供不丰富),再用适配型号电圈套器套扎肿物根部,残余组织通过活检钳分次清除,同时用负压吸引避免碎屑堵塞气道。
治疗效果:手术耗时 40 分钟,全程出血<3ml,术后 2 小时患者呼吸顺畅,可下床活动,住院 3 天康复出院,术后 1 个月复查支气管镜示气道通畅,无肿瘤残留。


案例 2:右肺中下叶开口肿瘤(无痛气管镜下电圈套器切除)
患者情况:中年女性,因胸闷、气促就诊,胸部 CT 示右肺中下叶开口肿瘤,阻塞气道导致肺通气功能下降,需明确肿瘤性质并缓解梗阻症状。
手术操作:采用无痛气管镜技术,将电圈套器通过镜体工作通道送至肿瘤位置,调整圈套环完全包裹肿瘤,完整取出肿瘤组织,同时收集标本送检病理。
治疗效果:手术仅用 20 分钟,术中无明显出血,患者术后生命体征平稳,气道梗阻症状即时缓解,病理结果为低分化腺癌,为后续化疗方案制定提供依据,术后 2 周可正常活动。


上述两例案例均体现了电圈套器在呼吸科气道肿物治疗中的显著优势。对于良性肿物(如案例1中的错构瘤),电圈套器可精准切除肿物,配合活检钳清除残留组织,能有效解除气道狭窄,创伤小、恢复快,可显著提升患者生活质量;对于恶性肿瘤(如案例2中的低分化腺癌),电圈套器不仅能快速切除阻塞气道的肿瘤组织,缓解梗阻症状,还能获取完整的病理标本,为明确诊断和后续治疗方案的制定提供重要支撑。
在呼吸内镜介入治疗中,电圈套器的应用需严格遵循适应症,以保障治疗安全性与有效性。
其核心适应症主要包括:




应用注意事项
禁忌症:对于无蒂、基底宽广、血供极其丰富的肿物,或肿物位于外周细小支气管、存在严重凝血功能障碍的患者,需谨慎评估后再决定是否使用电圈套器,或联合其他介入技术治疗。
操作要点:需根据肿物的大小、位置、血供情况及患者耐受度,合理选择电圈套器型号、设置电外科参数,同时配合负压吸引、活检钳等器械,确保手术安全、高效进行。
无痛技术:对于耐受度较差的患者,采用无痛气管镜技术可进一步提升手术舒适度,扩大手术适用范围。
最后
电圈套器结合支气管镜的微创介入治疗方案,在呼吸科气道肿物的诊断与治疗中具有重要的临床应用价值,尤其适用于气道狭窄、肿物阻塞等情况,可实现“诊断+治疗”一体化,为患者提供更优质、更精准的医疗服务。
